Aortenaneurysma
Ein Aortenaneurysma ist eine krankhafte Erweiterung der Körperhauptschlagader (Aorta), die durch eine Schwäche der Arterienwand verursacht wird.
Aneurysmen können in jeder Arterie auftreten, die häufigsten sind: im Bereich des Brustkorbes speziell das thorakale Aortenaneurysma (TAA), im Übergang von Brustkorb zu Bauch das thorakoabdominelle Aortenaneurysma, im Bauchraum das abdominelle Aortenaneurysma (AAA) und im Becken das aorto-iliakale Aortenaneurysma.
Typische Risikofaktoren für die Ausbildung eines Aneurysmas sind Atherosklerose (eine Form der Arteriosklerose), Rauchen, Bluthochdruck und Diabetes mellitus. Seltenere Ursachen sind nicht-Erreger oder erregerbedingte Entzündungen der Gefäßwände (mykotisches, inflammatorisches Aneurysma) sowie eine angeborene Bindegewebsschwäche (z. B. Marfan-Syndrom, Ehlers-Danlos-Syndrom, Loeys-Dietz-Syndrom).
Trotz großer Fortschritte in den Möglichkeiten der Diagnostik und insbesondere der minimalinvasiven schonenden Therapieverfahren, ist der Einriss eines Aneurysmas immer noch sehr gefürchtet. Im Falle einer solchen lebensbedrohlichen Ruptur muss es sehr schnell gehen. Aber auch nach Erreichen eines nächstliegenden erfahrenen Krankenhauses ist die Sterblichkeit aufgrund häufig koexistenter Herz-Kreislauf- und Lungenerkrankungen sehr hoch.
Vorbeugend empfiehlt der Gemeinsame Bundesausschuss G-BA in seiner Gesundheitsuntersuchungs-Richtlinie bei Männern ab dem 65. Lebensjahr ein Ultraschallscreening auf ein Bauchaortenaneurysma. Männer sind wesentlich häufiger von einem Bauchaortenaneurysma betroffen als Frauen.
Untersuchungen bei einem Aortenaneurysma
Die Diagnose wird durch bildgebende Verfahren gestellt (z. B. Ultraschall); zur genauen Beurteilung der Gefäßverhältnisse führen wir in der Abteilung für Radiologie und Nuklearmedizin eine Angiografie (CT-Angiografie, MR-Angiografie) durch.
Sobald ein klassisches abdominelles Aortenaneurysma (Bauchaortenaneurysma) bei Männern einen Durchmesser von 5,5 Zentimetern und bei Frauen eine Größe von 5 Zentimetern erreicht hat, steigt das Risiko auf einen Riss. Nach wissenschaftlichen Studien und Empfehlungen der Fachgesellschaften ist dann eine Behandlung des Aneurysmas zu diskutieren.
Gefäßkonferenz: interdisziplinäre Therapieentscheidung
Wird ein Aneurysma „gefährlich“ und muss behandelt werden, erfordert es eine enge Kooperation von Kardiologie und Angiologie, Herz- und Gefäßchirurgie sowie Interventioneller Radiologie. Regelmäßig findet im Robert Bosch Krankenhaus eine interdisziplinäre Gefäßkonferenz statt, bei der alle Betroffenen mit einem Aortenaneurysma unter Beteiligung der genannten Spezialist:innen diskutiert werden, um für jede Patientin:jeden Patienten zur individuell bestmöglichen Therapieentscheidung zu kommen. Auch Lebensstil, Lebenserwartung und potentiell weitere Erkrankungen der Betroffenen sind entscheidend für die interdisziplinäre Empfehlung zum weiteren Vorgehen.
Noch nicht gerissene Aneurysmen können je nach Größe und Lage sowie Symptomatik des Aneurysmas mit einem interventionell therapeutischen Eingriff unter radiologischer Bildsteuerung oder einer gefäßchirurgischen Operation behandelt werden.
Auch bereits rupturierte Bauchaortenaneurysmen können wir in der Interventionellen Radiologie mit einem Stent versorgen. Wichtig ist dabei, dass die Betroffenen noch kreislaufstabil sind. Bei instabilen Patient:innen wird eine offene Operation oder gegebenenfalls eine Kombination aus beidem durchgeführt.
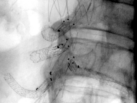
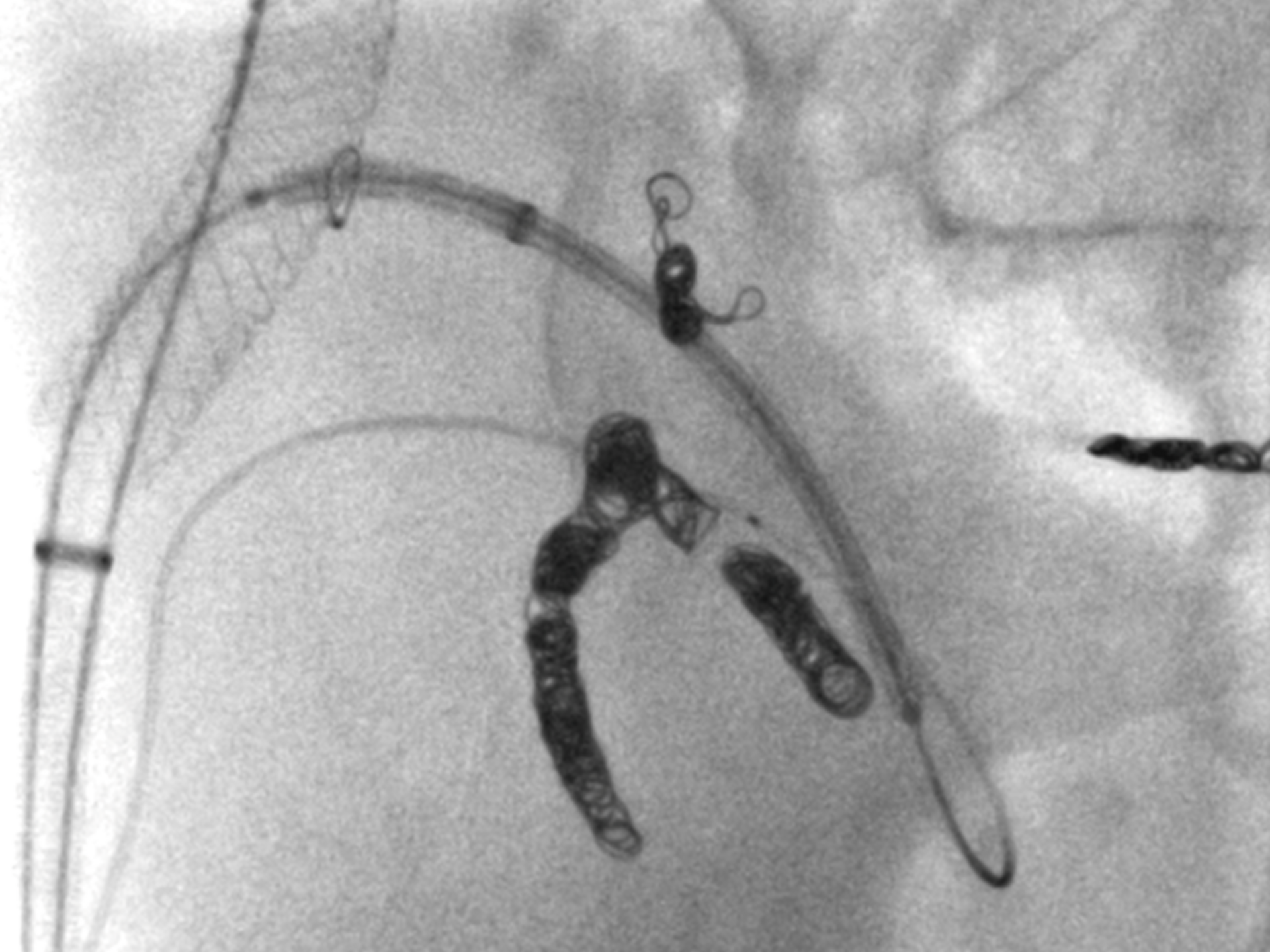
Behandlung eines Aortenaneurysmas in der Interventionellen Radiologie: Stentgraft zur Reperatur des Aortenaneurysmas
Die hier geschilderten Behandlungsmöglichkeiten beschreiben die kathetergesteuerten Verfahren der Interventionellen Radiologie, nicht die operativen Eingriffe. Die Abteilung für Radiologie und Nuklearmedizin des Robert Bosch Krankenhauses verfügt über eine hohe interventionell-radiologische Expertise in der Behandlung eines Aortenaneurysmas.
Abhängig von Ausdehnung und Lokalisation des Aneurysmas ist die endovaskuläre Therapie eine minimalinvasive, für die Patient:innen sehr schonende Behandlungsoption. Nach örtlicher Betäubung und gegebenenfalls leichten angstlösenden bzw. beruhigenden Medikamenten führen die Expert:innen der Abteilung für Radiologie und Nuklearmedizin durch die Haut eine übliche Punktion der Leistenarterie als Zugang zum Gefäßsystem durch. Anschließend wird mit Hilfe bildgebender Verfahren über ein Kathetersystem eine ummantelte Gefäßstütze (Aorten-Stentgraft) präzise innerhalb des erkrankten Gefäßabschnittes eingesetzt, um die Gefäßaussackung von innen abzudichten.

Nach Entfernung der für den Eingriff notwendigen Katheter wird der verwendete Gefäßzugang abgedichtet. So ist ohne chirurgischen Schnitt das Risiko für etwaige Wundheilungsstörungen sehr gering. Nach wenigen Tagen Erholung ist meist eine baldige Entlassung aus dem Robert Bosch Krankenhaus nach Hause möglich.
Nach der Stentimplantation kann wie zuvor eine sportlich aktive Lebensführung fortgeführt werden.
Regelmäßige jährliche Kontrollen mit bildgebenden Verfahren (kontrastmittelverstärkter Ultraschall (CEUS) oder CT) sind notwendig, um potentielle Komplikationen frühzeitig erkennen zu können

Bei einem nicht unerheblichen Anteil der Betroffenen sind keine Standard-Stentgraft-Materialien verwendbar, um eine sichere Abdichtung zu gewährleisten. In diesen Fällen kommen maßgefertigte Stentgraft-Prothesen zum Einsatz. Diese haben abhängig von der Lokalisation Verbindungen zu den übrigen wichtigen Baucharterien wie Nieren und Darm.
Vorgehen bei hochgradiger Rupturgefahr
Ist die Gefahr eines Aortenrisses sehr hoch, beispielsweise aufgrund eines sehr großen Aneurysmas oder Schmerzsymptomatik durch das Aneurysma, kann die Fertigungszeit der individuell produzierten Aortenstentgrafts von mehreren Wochen nicht abgewartet werden. Alternativ kommen hybride endovaskuläre Techniken zu Einsatz, die Standardmaterialien miteinander kombinieren, um eine umgehende zeitnahe Versorgung durchführen zu können.

Auch eine atypische Versorgung zum Erhalt beispielsweise wichtiger zusätzlicher Nierenarterien zur Förderung der Nierenfunktion sind mit diesen Techniken umsetzbar.

Entsprechend unserem Anliegen, so viel wie möglich an vorhandenen Gefäßen zu erhalten, gelingt auch der Erhalt der Beckenarterien bei ausgedehnten aorto-iliakalen Aneurysmen mit diesen Techniken. Diese Gefäßversorgung bildet einen wichtigen Umgehungskreislauf bei arterieller Verschlusskrankheit zum Bein oder vaskulär bedingter erektiler Dysfunktion.

Fachexpertise, hochwertige Materialien und Forschung für eine bestmögliche Patientenbehandlung
Patientinnen und Patienten profitieren unmittelbar von einer langjährigen Expertise in der Aneurysma-spezifischen Auswahl aus dem breiten Spektrum der verfügbaren Kathetermaterialien und deren routinierter Anwendung in der elektiv geplanten endovaskulären Versorgung – auch bei komplexen Aneurysmen und in der zeitkritischen Notfallsituation.
Wissenschaftler:innen und Forschende arbeiten aktiv an der Weiterentwicklung der Kathetermaterialien und -techniken für eine optimale Versorgung von Betroffenen mit einem Aortenaneurysma.

Sprechen Sie uns an
Bei Fragen oder Interesse wenden Sie sich gerne jederzeit zu einer persönlichen Beratung an uns oder hinterlassen Sie Ihre E-Mail-Adresse, damit wir Sie persönlich kontaktieren können.
Bitte übermitteln Sie uns bei einem geplanten Besuch im Vorhinein eventuell vorhandene Bildgebung bzw. aussagekräftige Aufnahmen aus der hochauflösenden kontrastmittelverstärkten Computertomografie (DICOM Format).

